The AJ520 antibody recognizes the Dictyostelium vacuolar H+-ATPase subunit A by Western blot
DOI:
https://doi.org/10.24450/journals/abrep.2019.e47Abstract
The AJ520 antibody, derived from the 221-35-2 hybridoma, detects by Western blot the full-length vacuolar H+-ATPase subunit A from Dictyostelium discoideum.
Introduction
The vacuolar H+-ATPase subunit A protein (VatA, DDB_G0287127, UniProt #P54647) is a membrane protein present in the contractile vacuole and endosomal compartments in D. discoideum, recognized by the 221-35-2 monoclonal antibody(Jenne et al., 1998; Neuhaus et al., 1998). Here we describe the ability of the AJ520 antibody, a single chain fragment (scFv) derived from the 221-35-2 hybridoma, to label the contractile vacuole and endosomes by immunofluorescence.
Materials & Methods
Antibodies: ABCD_AJ520 antibody (ABCD nomenclature, http://web.expasy.org/abcd/) was produced by the Geneva Antibody Facility (http://unige.ch/medecine/antibodies/) as mini-antibody with the antigen-binding scFv fused to a mouse IgG2A Fc. The synthesized scFv sequence (GeneArt, Invitrogen) corresponds to the sequence of the variable regions joined by a peptide linker (GGGGS)3. The sequencing of the 221-35-2 hybridoma was performed by the Geneva Antibody Facility. HEK293 suspension cells (growing in FreeStyle™ 293 Expression Medium, Gibco #12338) were transiently transfected with the vector coding for the scFv-Fc. Supernatants (~50 mg/L) were collected after 5 days.
Antigen: 5x106 D. discoideum DH1 cells, cultivated in HL5 medium, were used to detect the full-length protein.
Protocol: Cells were pelleted and resuspended in 200 L of sample buffer (20.6% (w/v) sucrose, 100 mM Tris pH 6,8, 10 mM EDTA, 0,1% (w/v) bromophenol blue, 4% (w/v) SDS; 6% (v/v) ß-mercaptoethanol was added for reducing condition). 20 L of each sample was migrated (200 V, 30 min) in a 4-15% acrylamide gel (Mini-PROTEAN TGX Precast Gel, Biorad #456-1083), and transferred to a nitrocellulose membrane using a dry transfer system for 7 minutes (iBlot gel transfer device, Invitrogen #IB23001). The membranes were blocked during 1 hour in PBS containing 0.1% (v/v) Tween20 and 7% (w/v) milk, and washed once for 15 minutes in PBS + 0.1% (v/v) Tween20. The membranes were then incubated during 2 hours with either the 221-35-2 monoclonal or the AJ520 scFv antibody (diluted 1:3 or 1:10 in PBS-Tween, respectively). The membranes were then washed three times and incubated for 1 hour with the horseradish peroxidase-coupled goat anti-mouse IgG (Biorad#170-6516, dilution 1:3000) and washed twice for 15 minutes and once for 5 minutes in PBS-Tween. The signal was revealed by enhanced chemiluminescence (ECL) (Amersham Biosciences) using a PXi-4 gel imaging systems (Syngene).
Results
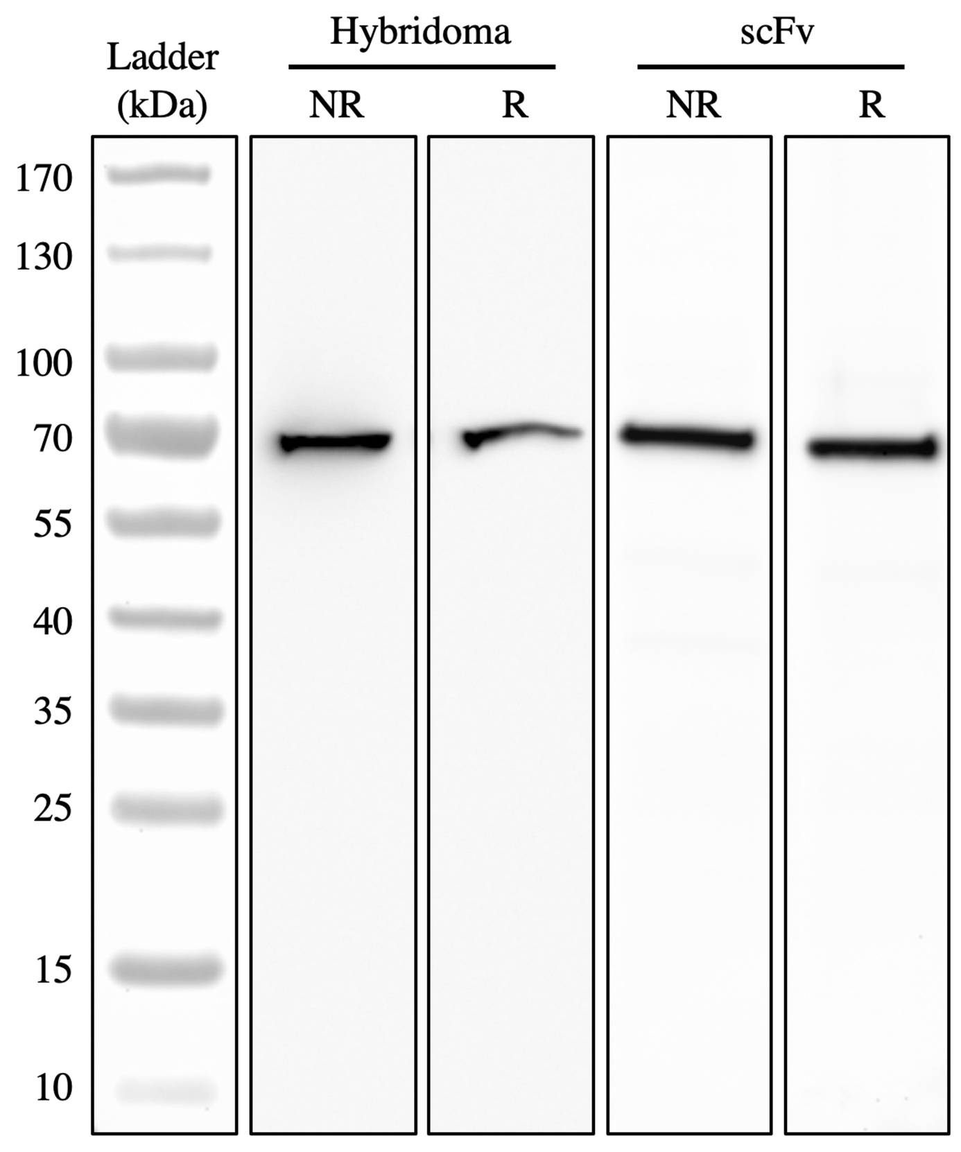
Similarly to the original 221-35-2 hybridoma, the AJ520 antibody specifically recognizes the VatA protein, detecting a single band around 68 kDa (Fig. 1) (Fok et al., 1993; Neuhaus et al., 1998).
Figure 1. The 221-35-2 hybridoma and the AJ520 scFv antibodies specifically recognize the VatA protein (predicted molecular mass ~68 kDa) (NR: non-reducing conditions; R: reducing conditions).
Conflict of interest
Wanessa Cristina Lima is an editor of the Antibody Reports journal.
References
Fok AK, Clarke M, Ma L, Allen RD. Vacuolar H(+)-ATPase of Dictyostelium discoideum. A monoclonal antibody study. J Cell Sci. 1993;106:1103-13. PMID: 8126094
Jenne N, Rauchenberger R, Hacker U, Kast T, Maniak M. Targeted gene disruption reveals a role for vacuolin B in the late endocytic pathway and exocytosis. J Cell Sci. 1998;111:61-70. PMID:9394012
Neuhaus EM, Horstmann H, Almers W, Maniak M, Soldati T. Ethane-freezing/methanol-fixation of cell monolayers: a procedure for improved preservation of structure and antigenicity for light and electron microscopies. J Struct Biol. 1998;121(3):326-42. PMID:9704504
Downloads
Published
Section
How to Cite
License
Some rights reserved 2019 The author(s)

This work is licensed under a Creative Commons Attribution 4.0 International License.

