AF394, AF395, AF397, AK142, AK652, AN193 and AV441 antibodies label the GFP protein by western blot
DOI:
https://doi.org/10.24450/journals/abrep.2022.e677Abstract
The recombinant antibodies AF394, AF395, AF397, AK142, AK652, AN193 and AV441 detect the GFP protein by western blot.
Introduction
The green fluorescent protein (GFP) (Uniprot P42212) is a large (~235 aa) protein tag, widely used as a fluorescent reporter to detect and visualize GFP-fused proteins (Tsien, 1998). Here, we described the ability of 7 recombinant antibodies to detect the GFP protein by western blot. Three other tested antibodies (AF396, AN712 and AR464) did not.
Materials & Methods
Antibodies: ABCD_AF394, ABCD_AF395, ABCD_AF396, ABCD_AF397, ABCD_AK142, ABCD_AK652, ABCD_AN193, ABCD_AN712, ABCD_AR464 and ABCD_AV441 antibodies (ABCD nomenclature, http://web.expasy.org/abcd/) were produced by the Geneva Antibody Facility (http://unige.ch/medecine/antibodies/) as mini-antibodies with the antigen-binding portion fused to a rabbit IgG Fc. The synthesized scFv sequences (GeneArt, Invitrogen) correspond to the sequences of the variable regions joined by a peptide linker (GGGGS)3 (see Table 1 for clone names and references). HEK293 suspension cells (growing in FreeStyle™ 293 Expression Medium, Gibco 12338) were transiently transfected with the vector coding for the scFv-Fc of each antibody. Supernatants (see Table 1 for individual yields) were collected after 4 days.
| ABCD | Clone | Reference | Yield ( mg /L) |
| AF394 | GBP1 | Kirchhofer et al.,2010 | 120 |
| A F395 | GBP4 | Kirchhofer et al.,2010 | 80 |
| A F396 | VHH | Rothbauer et al.,2006 | 100 |
| A F397 | LaG-28 | Fridy et al., 2014 | 140 |
| AK142 | cAbGFP4 | Saerens et al., 2008 | <5 |
| AK652 | GBP2 | Pellis et al., 2012 | 120 |
| AN193 | 3G86.32 | Brauchle et al., 2014 | 60 |
| AN712 | 3C3/64 | Cosson, personal communication | 100 |
| AR464 | B9 | Fang et al., 2020 | 120 |
| AV441 | N86/20 | Andrews et al., 2019 | 20 |
Antigen: Klebsiella pneumoniaebacteria transformed with a GFP-encoding plasmid were used to detect the GFP protein. Non-transformed bacteria (WT) were used as a negative control.
Protocol: 5 μL of overnight cultured Klebsiella pneumoniae bacteria (WT or transformed with the GFP-encoding plasmid) were pelleted, lysed in 20 μL of sample buffer (20.6% (w/v) sucrose, 100 mM Tris pH 6.8, 10 mM EDTA, 0.1% (w/v) bromophenol blue, 4% (w/v) SDS) and boiled at 95°C for 5 minutes. Each sample was migrated (200 V, 30 min) in a 4-20% acrylamide gel (SurePAGE Bis-Tris, Genscript M00655), and transferred to a nitrocellulose membrane using a dry transfer system for 10 min (iBlot gel transfer device, Invitrogen IB1001EU). The membranes were blocked overnight in PBS containing 0.1% (v/v) Tween20 and 7% (w/v) milk and washed three times for 5 min in PBS + 0.1% (v/v) Tween20. The membranes were then incubated with the recombinant antibodies (5 mg/L in PBS-Tween-milk) for 30 min at room temperature and washed three times for 5 min. The membranes were then incubated for 30 min with horseradish peroxidase-coupled goat anti-rabbit IgG (Sigma-Aldrich A8275, dilution 1:3000 in PBS-Tween-milk) and washed 5 times for 5 min in PBS-Tween. The signal was revealed by enhanced chemiluminescence (ECL) (Millipore) using a PXi-4 gel imaging system (Syngene).
Results
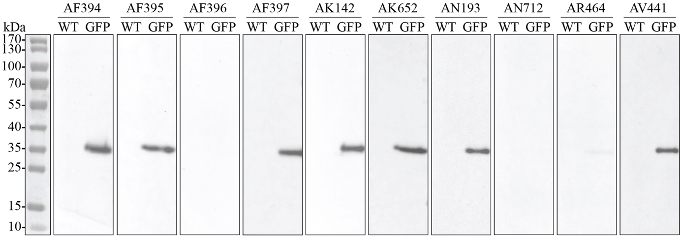
Antibodies AF394, AF395, AF397, AK142, AK652, AN193 and AV441 recognized the GFP protein expressed in Klebsiellapneumoniae bacteria by western blot (Fig. 1). One band was observed at approximatively 35 kDa, which is slightly higher than the expected theoretical size (27 kDa). This may be due to post-translational modifications, such as glycosylation, which also occur in bacteria (Nothaft and Szymanski, 2010). No signal was detected in WT bacteria (Fig. 1). In these experimental conditions, a very weak signal was obtained with the antibody AR464, and no signal was detected with antibodies AF396 and AN712. Data obtained with AF394, AF395 and AF396 are consistent with previously published data (Lamrabet, 2019).
Figure 1. Specific binding of AF394, AF395, AF397, AK142, AK652, AN193 and AV441 antibodies to the GFP protein in Klebsiella pneumonia harboring a GFP-encoding plasmid (GFP). No band was observed in non-transformed (WT) bacteria. A very weak signal was obtained with the antibody AR464, and no signal was obtained with AF396 and AN712.
Conflict of interest
The authors declare no conflict of interest.
References
Hennecke S, Cosson P. Role of transmembrane domains in assembly and intracellular transport of the CD8 molecule. J Biol Chem. 1993; 268(35):26607-12. PMID: 8253791.
Kung P, Goldstein G. Complement-fixing monoclonal antibody to human suppressor T cells and methods of preparing same. United States, US4361550, 1982.
Schofield DJ, Pope AR, Clementel V, et al. Application of phage display to high throughput antibody generation and characterization. Genome Biol. 2007; 8(11): R254. PMID: 18047641.
Shore DA, Teyton L, Dwek RA, Rudd PM, Wilson IA. Crystal structure of the TCR co-receptor CD8α in complex with monoclonal antibody YTS 105.18 Fab fragment at 2.88Å resolution. J Mol Biol. 2006; 358(2):347‑54. PMID: 16530222.
Wong P, Pamer EG. CD8 T cell responses to infectious pathogens. Annu Rev Immunol. 2003; 21:29‑70. PMID: 12414723.
Downloads
Published
Section
How to Cite
License
Some rights reserved 2022 Cyril Guilhen, Vincent Mendes Ferreira, Anja Maag, Maria Lung, Patricia Lopez, Julien Schär, Yekaterina Prutyanova, Marin Ollagnon, Garance Michel, Alexis Calomeni, Agnès Bury, Diana Boeva, Marc Bobillier, Maxime Zholdokov, Mathieu Vigneau, Bethania Tamrat, Emma Siebenmann, Tasnim Khadam-Al-Jame, Hugo Gillet, Eva Garrido, Hania Farhat, Jade Berlincourt, Luca Baltazar, Tess Arbez, Benjamin Adomako, Stéphane Durual

This work is licensed under a Creative Commons Attribution 4.0 International License.

