The AJ514 antibody recognizes the common antigen 1 from Dictyostelium discoideum by Western blot
DOI:
https://doi.org/10.24450/journals/abrep.2019.e49Abstract
The AJ514 antibody, derived from the 221-342-5 hybridoma, detects by Western blot the common antigen 1 from Dictyostelium discoideum.
Introduction
The common antigen 1 (CA1) is a mannose-6-SO4-carbohydrate epitope shared by lysosomal enzymes of Dictyostelium discoideum, recognized by the 221-342-5 monoclonal antibody (Knecht et al., 1984; Neuhaus et al., 1998). This lysosomal carbohydrate epitope is absent in a sulfation-defective knock-out of D. discoideum (kil1 KO cells) (Benghezal et al., 2006). Here we describe the ability of the AJ514 antibody, a single chain fragment (scFv) derived from the 221-342-5 hybridoma, to detect the common antigen 1 by Western blot.
Materials & Methods
Antibodies: ABCD_AJ514 antibody (ABCD nomenclature, http://web.expasy.org/abcd/) was produced by the Geneva Antibody Facility (http://unige.ch/medecine/antibodies/) as mini-antibody with the antigen-binding scFv fused to a rabbit IgG Fc. The synthesized scFv sequence (GeneArt, Invitrogen) corresponds to the sequence of the variable regions joined by a peptide linker (GGGGS)3. The sequencing of the 221-342-5 hybridoma was performed by the Geneva Antibody Facility. HEK293 suspension cells (growing in FreeStyle™ 293 Expression Medium, Gibco #12338) were transiently transfected with the vector coding for the scFv-Fc. Supernatants (~50 mg/L) were collected after 4 days.
Antigen: 5x106 D. discoideum (strain DH1) WT or kil1 KO cells, cultivated in HL5 medium, were used to detect the common antigen 1.
Protocol: Cells were pelleted and resuspended in 200 L of sample buffer (20.6% (w/v) sucrose, 100 mM Tris pH 6,8, 10 mM EDTA, 0,1% (w/v) bromophenol blue, 4% (w/v) SDS; 6% (v/v) ß-mercaptoethanol was added for reducing condition). 20 L of each sample was migrated (200 V, 30 min) in a 4-20% acrylamide gel (Genscript, SurePAGE Bis-Tris, #M00655), and transferred to a nitrocellulose membrane using a dry transfer system for 7 minutes (iBlot gel transfer device, Invitrogen #IB23001). The membranes were blocked during 1 hour in PBS containing 0.1% (v/v) Tween20 and 7% (w/v) milk, and washed three times for 15 minutes in PBS + 0.1% (v/v) Tween20. The membranes were then incubated during 2 hours with either the 221-342-5 monoclonal or the AJ514 scFv antibody (diluted 1:10 or 1:300 in PBS-Tween, respectively). The membranes were then washed three times and incubated for 1h with the horseradish peroxidase-coupled goat anti-mouse IgG (Biorad #170-6516, dilution 1:3000) or anti-rabbit IgG (Sigma #A8275, dilution 1:3000) and washed twice for 15 minutes and once for 5 minutes in PBS-Tween. The signal was revealed by enhanced chemiluminescence (ECL) (Amersham Biosciences) using a PXi-4 gel imaging systems (Syngene).
Results
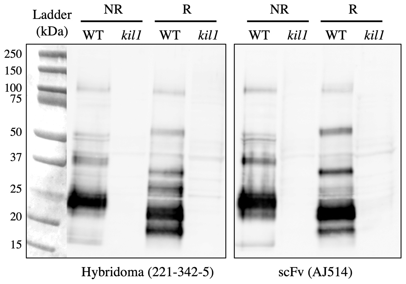
Similarly to the original 221-342-5 hybridoma, the AJ514 antibody recognizes lysosomal enzymes of different molecular sizes exhibiting sulfated carbohydrates (Knecht et al., 1984). The signal was not detected in the sulfation-defective cells (Benghezal et al., 2006) (Fig. 1). The staining with both antibodies appears almost indistinguishable (Fig. 1).
Figure 1. The 221-342-5 hybridoma and the AJ514 scFv antibodies recognize the common antigen 1 in Dictyostelium WT cells but not in the sulfation-defective kil1 KO cells (NR: non-reducing conditions; R: reducing conditions).
Conflict of interest
The authors declare no conflict of interest.
References
Benghezal M, Fauvarque MO, Tournebize R, et al. Specific host genes required for the killing of Klebsiella bacteria by phagocytes. Cell Microbiol. 2006; 8(1):139–48. PMID:16367873
Knecht DA, Dimond RL, Wheeler S, Loomis WF. Antigenic determinants shared by lysosomal proteins of Dictyostelium discoideum. Characterization using monoclonal antibodies and isolation of mutations affecting the determinant. J Biol Chem. 1984; 259(16):10633-40. PMID:6206057
Neuhaus EM, Horstmann H, Almers W, Maniak M, Soldati T. Ethane-freezing/methanol-fixation of cell monolayers: a procedure for improved preservation of structure and antigenicity for light and electron microscopies. J Struct Biol. 1998; 121(3):326-42. PMID:9704504
Downloads
Published
Section
How to Cite
License
Some rights reserved 2019 The author(s)

This work is licensed under a Creative Commons Attribution 4.0 International License.

