The AK421 antibody recognizes the Dictyostelium mitochondrial porin by Western blot
DOI:
https://doi.org/10.24450/journals/abrep.2019.e57Abstract
The AK421 antibody, derived from the 70-100-1 hybridoma, detects by Western blot the full-length mitochondrial porin from Dictyostelium discoideum.
Introduction
The mitochondrial outer membrane porin (porA, DDB_G0271848, UniProt #Q01501), also known as voltage-dependent anion-selective channel (VDAC), is a transmembrane protein that acts as a permeability channel for hydrophilic compounds (Troll et al., 1992). Here we describe the ability of the AK421 antibody, a single chain fragment (scFv) derived from the 70-100-1 hybridoma, to detect the full-length Dictyostelium porin by Western blot.
Materials & Methods
Antibodies: ABCD_AK421 antibody (ABCD nomenclature, http://web.expasy.org/abcd/) was produced by the Geneva Antibody Facility (http://unige.ch/medecine/antibodies/) as mini-antibody with the antigen-binding scFv fused to a rabbit IgG Fc. The synthesized scFv sequence (GeneArt, Invitrogen) corresponds to the sequence of the variable regions joined by a peptide linker (GGGGS)3. The sequencing of the 70-100-1 hybridoma was performed by the Geneva Antibody Facility. HEK293 suspension cells (growing in FreeStyle™ 293 Expression Medium, Gibco #12338) were transiently transfected with the vector coding for the scFv-Fc. Supernatants (~20 mg/L) were collected after 4 days.
Antigen: D. discoideumDH1 cells, cultivated in HL5 medium, were used to detect the full-length protein.
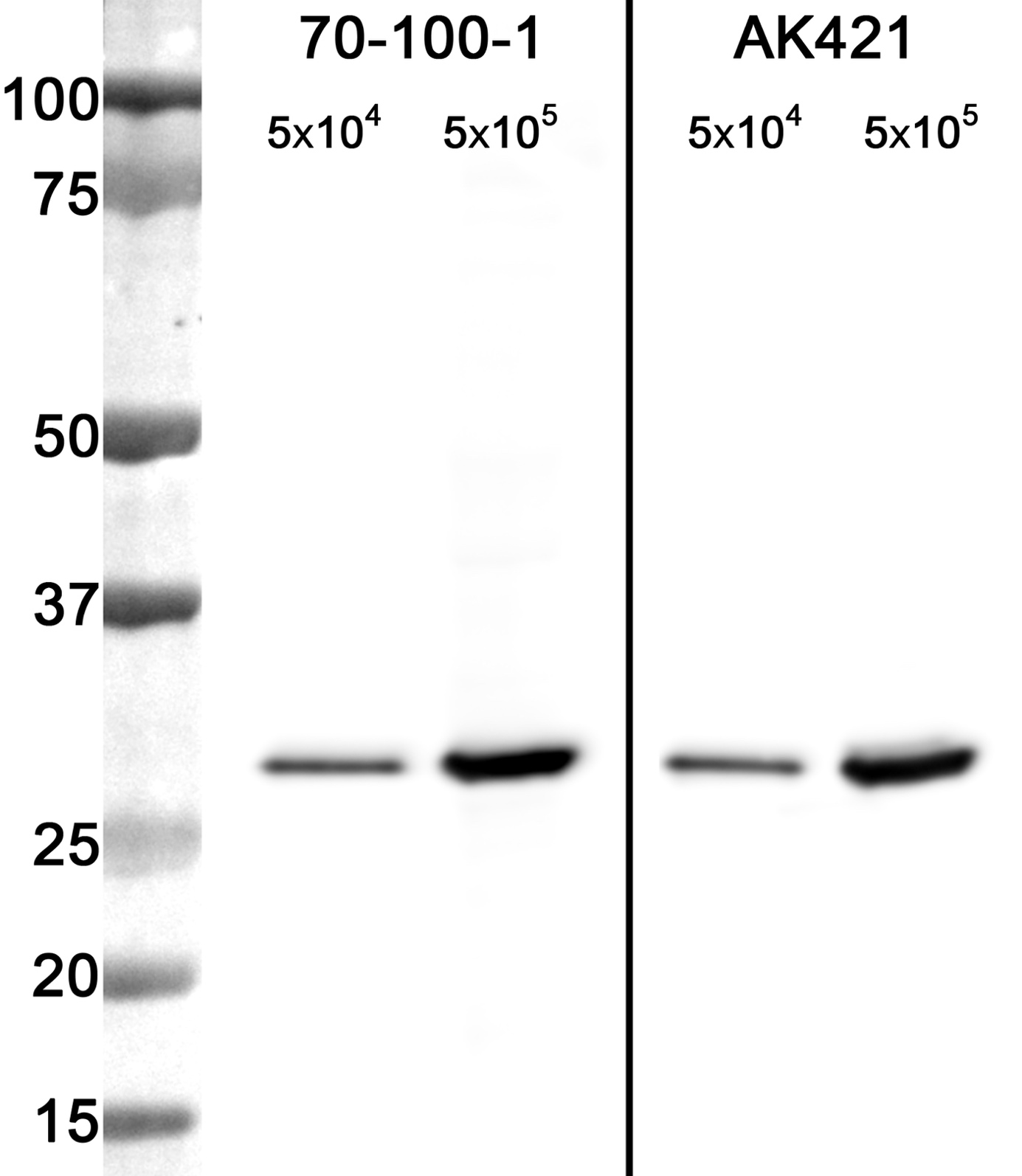
Protocol: 106 and 107 cells were pelleted, resuspended in 200 L of sample buffer (20.6% (w/v) sucrose, 100 mM Tris pH 6,8, 10 mM EDTA, 0,1% (w/v) bromophenol blue, 4% (w/v) SDS, 6% (v/v) ß- mercaptoethanol), and boiled for 15 min at 95 oC. 10 L of each sample (5x104 and 5x105 cells) was migrated (150 V, 45 min) in a 4-20% acrylamide gel (Genscript, SurePAGE Bis-Tris, #M00655), and transferred to a nitrocellulose membrane using a dry transfer system for 7 minutes (iBlot gel transfer device, Invitrogen #IB23001). The membranes were blocked during 30 min in PBS containing 0.1% (v/v) Tween20 and 7% (w/v) milk, and washed once for 15 minutes in PBS + 0.1% (v/v) Tween20 (PBS-Tween). The membranes were then incubated during 1 hour at RT with either the 70-100-1 mouse monoclonal or the AK421 scFv antibody (diluted 1:10 or 1:20 in PBS-Tween, respectively). The membranes were then washed three times (5+5+15 min) and incubated for 1 hour with the horseradish peroxidase-coupled goat anti-mouse IgG (Biorad#170-6516, dilution 1:3000) or anti-rabbit IgG (Sigma #A8275, dilution 1:3000) and washed three times (15 min) in PBS-Tween. The signal was revealed by enhanced chemiluminescence (ECL) (Amersham Biosciences) using a PXi-4 gel imaging systems (Syngene).
Results
Similarly to the original 70-100-1 hybridoma, the AK421 antibody specifically recognizes the porin protein, detecting a single band around 30 kDa (Fig. 1) (Troll et al., 1992).
Figure 1. The 700-100-1 hybridoma and the AK421 scFv specifically recognize the porin protein (predicted molecular mass ~30 kDa).
Conflict of interest
Wanessa Cristina Lima is an editor of the Antibody Reports journal.
References
Troll H, Malchow D, Müller-Taubenberger A, et al. Purification, functional characterization, and cDNA sequencing of mitochondrial porin from Dictyostelium discoideum. J Biol Chem. 1992; 267:21072-9. PMID: 1328220
Downloads
Published
Section
How to Cite
License
Some rights reserved 2019 The author(s)

This work is licensed under a Creative Commons Attribution 4.0 International License.

