The AJ154 antibody recognizes the Dictyostelium p80 protein by Western blot
DOI:
https://doi.org/10.24450/journals/abrep.2019.e23Abstract
The AJ154 antibody, derived from the H161 hybridoma, detects by Western blot the full-length p80 protein from Dictyostelium discoideum.
Introduction
The p80 protein (DDB_G0287297, UniProt #Q7YXD4) is a widely-used marker for endosomal compartments in D. discoideum, recognized by the H161 monoclonal antibody(Ravanel et al., 2001). Here we describe the ability of the AJ154 antibody, a single chain fragment (scFv) derived from the H161 hybridoma, to detect the full-length p80 protein by Western blot.
Materials & Methods
Antibodies: ABCD_AJ154 antibody (ABCD nomenclature, http://web.expasy.org/abcd/) was produced by the Geneva Antibody Facility (http://unige.ch/medecine/antibodies/) as mini-antibody with the antigen-binding scFv fused to three different Fc moieties: mouse IgG2A, human IgG1 and rabbit IgG. The synthesized scFv sequence (GeneArt, Invitrogen) corresponds to the sequence of the variable regions joined by a peptide linker (GGGGS)3. The sequencing of the H161 hybridoma was performed by the Geneva Antibody Facility. HEK293 suspension cells (growing in FreeStyle™ 293 Expression Medium, Gibco #12338) were transiently transfected with the vectors coding for each scFv-Fc. Supernatants (~50 mg/L) were collected after 5 days.
Antigen: D. discoideumDH1 (WT) cells were used to detect the full-length p80 protein.
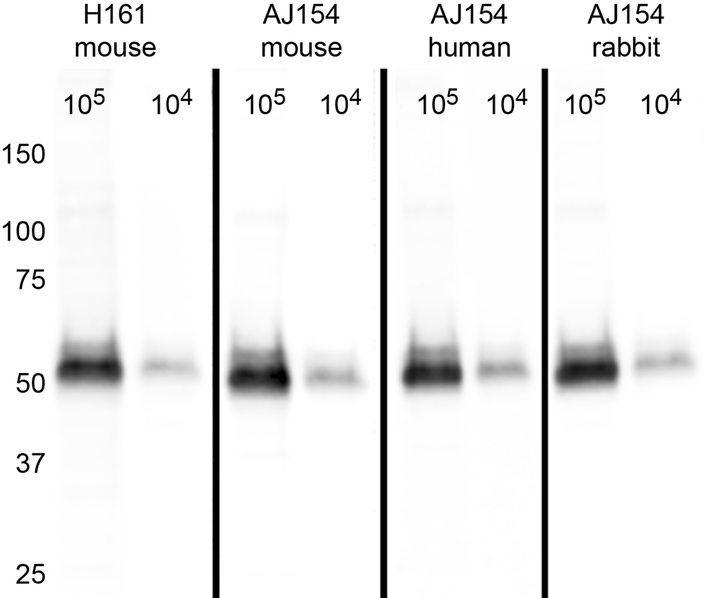
Protocol: 105 and 104 D. discoideum cells were pelleted and resuspended in 20 µL of non-reducing sample buffer (20.6% (w/v) sucrose, 100 mM Tris pH 6.8, 10 mM EDTA, 0.1% (w/v) bromophenol blue, 4% (w/v) SDS, 6% (v/v) ß-mercaptoethanol). 15 µL of each sample was migrated (200 V, 30 min) in a 4-15% acrylamide gel (Mini-PROTEAN® TGX™ Precast Gel, Biorad #456-1086), and transferred to a nitrocellulose membrane using a dry transfer system for 10 minutes (iBlot gel transfer device, Invitrogen #IB1001EU). The membranes were blocked during 1 hour in PBS containing 0.1% (v/v) Tween20 and 7% (w/v) milk, and washed once for 15 minutes in PBS + 0.1% (v/v) Tween20. The membranes were then incubated with the original mouse hybridoma H161 supernatant (dilution 1:20 in PBS-Tween) or with each of the reformatted scFv antibodies (dilution 1:100 in PBS-Tween), overnight at 4 °C, then washed three times for 15 minutes in PBS-Tween. The membranes were then incubated with horseradish peroxidase-coupled goat anti-mouse, anti-human or anti-rabbit IgG (Biorad #170-6516, Biorad #172-1050, and Sigma #A8275 respectively, dilution 1:3000) and washed three times for 15 minutes and once for 5 minutes in PBS-Tween. The signal was revealed by enhanced chemiluminescence (ECL) (Immobilon Classico Western HRP substrate, Millipore #WBLUC0500) using a PXi-4 gel imaging systems (Syngene).
Results
Similarly to the original H161 hybridoma, the AJ154 antibody specifically recognizes the p80 protein in D. discoideum cells (Fig. 1).
Figure 1. Specific binding of H161 hybridoma and AJ154 antibody to the p80 protein (predicted molecular mass ~58 kDa).
Conflict of interest
Pierre Cosson and Wanessa Cristina Lima are editors of the Antibody Reports journal.
References
Ravanel K, de Chassey B, Cornillon S, et al. Membrane sorting in the endocytic and phagocytic pathway of Dictyostelium discoideum. Eur J Cell Biol. 2001;80(12):754-64. PMID:11831389
Downloads
Published
Section
How to Cite
License
Some rights reserved 2019 The author(s)

This work is licensed under a Creative Commons Attribution 4.0 International License.

