The AJ519 antibody detects the human TAC/ILR2A protein by western blot
DOI:
https://doi.org/10.24450/journals/abrep.2020.e119Abstract
The AJ519 antibody detects the human TAC protein by western blot.
Introduction
The alpha subunit of the interleukin 2 receptor, also known as the TAC antigen (Uniprot #P01589), is a protein displayed notably at the surface of T lymphocytes (Uchiyama et al., 1981; Malek and Castro, 2010). Here, we describe the ability of the AJ519 antibody, a single chain fragment (scFv) derived from the 7G7 hybridoma, to successfully detect the TAC protein by western blot in TAC-transfected HEK293 cells.
Materials & Methods
Antibodies: ABCD_AJ519 antibody (ABCD nomenclature, http://web.expasy.org/abcd/; Lima et al., 2019) was produced by the Geneva Antibody Facility (http://unige.ch/medecine/antibodies/) as mini-antibody with the antigen-binding scFv fused to a rabbit IgG Fc. The synthesized scFv sequence (GeneArt, Invitrogen) corresponds to the sequence of the variable regions of the 7G7 hybridoma (Rubin et al., 1985) joined by a peptide linker (GGGGS)3. The sequencing of the 7G7 hybridoma was performed by the Geneva Antibody Facility. HEK293 suspension cells (growing in serum-free FreeStyleTM 293 Expression Medium, Gibco #12338) were transiently transfected with the vector coding for the scFv-Fc. AJ519 supernatant (50 mg/L) was collected after 4 days.
Antigen: The 7G7 hybridoma was originally raised against human influenza virus-stimulated PBMC in BALB/cJ mice (Rubin et al., 1985). HEK293 suspension cells (growing in FreeStyleTM 293 Expression Medium, Gibco #12338) were transiently transfected 3 days before the experiment with the vector coding for the full-length human TAC protein.
Protocol: 5x106 transfected HEK cells were pelleted and lysed in PBS containing 0.5% (v/v) Triton X-100. Nucleus were pelleted by centrifugation (10 min at 12’000 g) and supernatant was recovered and mixed with reducing or non-reducing sample buffer (20.6% (w/v) sucrose, 100 mM Tris pH 6.8, 10 mM EDTA, 0.1% (w/v) bromophenol blue, 4% (w/v) SDS, +/- 6% (v/v) beta-mercaptoethanol). Each sample was migrated (200 V, 30 min) in a 4-20% acrylamide gel (SurePAGE Bis-Tris, Genscript #M00655), and transferred to a nitrocellulose membrane using a dry transfer system for 10 minutes (iBlot gel transfer device, Invitrogen #IB1001EU). The membranes were blocked overnight in PBS containing 0.1% (v/v) Tween20 and 7% (w/v) milk and washed three times for 5 minutes in PBS + 0.1% (v/v) Tween 20. The membranes were then incubated with the primary antibody AJ519 (dilution 1:10 in PBS-Tween) for 1 hour at room temperature and washed three times for 5 minutes. The membranes were then incubated with horseradish peroxidase-coupled goat anti-rabbit IgG (Sigma-Aldrich #A8275, dilution 1:3000) and washed twice for 5 minutes and once for 15 minutes in PBS-Tween. The signal was revealed by enhanced chemiluminescence (ECL) (Millipore) using a PXi-4 gel imaging systems (Syngene).
Results
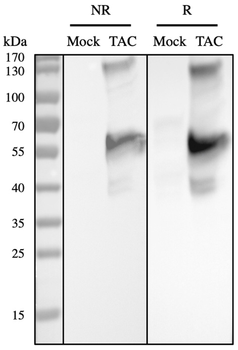
The antibody AJ519 recognizes the TAC protein in both non-reducing and reducing conditions. No signal was detected in mock transfected cells (Fig. 1).
Figure 1. Specific binding of the AJ519 antibody to TAC protein in TAC-transfected cells in both non-reducing (NR) and reducing (R) conditions. No band was observed in mock transfected cells.
Conflict of interest
The authors declare no conflict of interest.
References
Lima WC, Gasteiger E, Marcatili P, Duek P, Bairoch A, Cosson P. The ABCD database: a repository for chemically defined antibodies. Nucleic Acids Res. 2019; pii:gkz714. PMID: 31410491
Malek TR, Castro I. Interleukin-2 receptor signaling: at the interface between tolerance and immunity. Immunity. 2010; 33(2):153-65. PMID: 20732639
Rubin LA, Kurman CC, Biddison WE, Goldman ND, Nelson DL. A monoclonal antibody 7G7/B6, binds to an epitope on the human interleukin-2 (IL-2) receptor that is distinct from that recognized by IL-2 or anti-Tac. Hybridoma. 1985; 4(2):91‑102. PMID:2408992.
Uchiyama T, Broder S, Waldmann TA. A monoclonal antibody (anti-Tac) reactive with activated and functionally mature human T cells. I. Production of anti-Tac monoclonal antibody and distribution of Tac (+) cells. J Immunol. 1981; 126(4):1393‑7. PMID:6970774.
Downloads
Published
Section
How to Cite
License
Some rights reserved 2020 The author(s)

This work is licensed under a Creative Commons Attribution 4.0 International License.

