The AJ517 antibody labels the mouse CD8β protein by western blot
DOI:
https://doi.org/10.24450/journals/abrep.2020.e116Abstract
The AJ517 antibody detects the mouse CD8β protein by western blot.
Introduction
CD8 is a membrane-bound glycoprotein complex expressed primarily in cytotoxic T lymphocytes. It is composed of two transmembrane subunits, and , that associate to form a disulfide-linked heterodimer (Parnes, 1989) present at the cell surface. Here, we describe the ability of the AJ517 antibody, a single chain fragment (scFv) derived from the 35.17.2 hybridoma, to successfully detect the CD8β protein (Uniprot #P10300) by western blot in HEK293 cells expressing CD8 and CD8.
Materials & Methods
Antibodies: ABCD_AJ517 antibody (ABCD nomenclature, http://web.expasy.org/abcd/; Lima et al., 2019) was produced by the Geneva Antibody Facility (http://unige.ch/medecine/antibodies/) as mini-antibody with the antigen-binding scFv fused to a rabbit IgG Fc. The synthesized scFv sequence (GeneArt, Invitrogen) correspond to the sequence of the variable regions of the 35.17.2 hybridoma (Golstein et al., 1982) joined by a peptide linker (GGGGS)3. The sequencing of the 35.17.2 hybridoma was performed by the Geneva Antibody Facility. HEK293 suspension cells (growing in serum-free FreeStyleTM 293 Expression Medium, Gibco #12338) were transiently transfected with the vector coding for the scFv-Fc. AJ517 supernatant (30 mg/L) was collected after 4 days.
Antigen: The 35.17.2 hybridoma was originally raised against human thymocytes in BALB/c mice (Golstein et al., 1982). HEK293 suspension cells (growing in FreeStyleTM 293 Expression Medium, Gibco #12338) were transiently transfected 3 days before the experiment with the vectors coding for the full-length mouse CD8 (Uniprot #P01731) and CD8β protein. Co-transfection with the CD8 encoding plasmid was performed to guarantee proper protein dimerization and trafficking.
Protocol: 5x106 transfected HEK cells were pelleted and lysed in PBS containing 0.5% (v/v) Triton X-100. Nucleus were pelleted by centrifugation (10 min at 12.000 g) and supernatant was recovered and mixed with reducing or non-reducing sample buffer (20.6% (w/v) sucrose, 100 mM Tris pH 6.8, 10 mM EDTA, 0.1% (w/v) bromophenol blue, 4% (w/v) SDS, +/- 6% (v/v) beta-mercaptoethanol). 20 µL of each sample was migrated (200 V, 30 min) in a 4-20% acrylamide gel (SurePAGE Bis-Tris, Genscript #M00655), and transferred to a nitrocellulose membrane using a dry transfer system for 10 minutes (iBlot gel transfer device, Invitrogen #IB1001EU). The membranes were blocked overnight in PBS containing 0.1% (v/v) Tween20 and 7% (w/v) milk and washed three times for 5 minutes in PBS + 0.1% (v/v) Tween 20. The membranes were then incubated with the primary antibody AJ517 (dilution 1:10 in PBS-Tween) for 1 hour at room temperature and washed three times for 5 minutes. The membranes were then incubated with horseradish peroxidase-coupled goat anti-rabbit IgG (Sigma-Aldrich #A8275, dilution 1:3000) and washed twice for 5 minutes and once for 15 minutes in PBS-Tween. The signal was revealed by enhanced chemiluminescence (ECL) (Millipore) using a PXi-4 gel imaging systems (Syngene).
Results
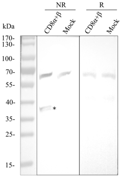
The antibody AJ517 recognizes the CD8β protein in non-reducing conditions. No signal was detected in mock transfected cells (Fig. 1).
Figure 1. Specific binding of the AJ517 antibody to CD8β protein (position indicated by an asterisk) in cells expressing CD8 and CD8 in non-reducing conditions (NR), but not in reducing conditions (R). No band was observed in mock transfected cells.
Conflict of interest
The authors declare no conflict of interest.
References
Golstein P, Goridis C, Schmitt-Verhulst AM, Hayot B, Pierres A, van Agthoven A, Kaufmann Y, Eshhar Z, Pierres M. Lymphoid cell surface interaction structures detected using cytolysis-inhibiting monoclonal antibodies. Immunol Rev. 1982; 68:5-42. PMID: 6184306
Lima WC, Gasteiger E, Marcatili P, Duek P, Bairoch A, Cosson P. The ABCD database: a repository for chemically defined antibodies. Nucleic Acids Res. 2019; pii:gkz714. PMID:31410491
Parnes JR. Molecular biology and function of CD4 and CD8. Adv Immunol. 1989; 44:265-311. PMID: 2493728
Downloads
Published
Section
How to Cite
License
Some rights reserved 2020 The author(s)

This work is licensed under a Creative Commons Attribution 4.0 International License.

