The AJ521 antibody detects the human CD1b protein by western blot
DOI:
https://doi.org/10.24450/journals/abrep.2020.e122Abstract
The AJ521 antibody detects the human CD1b protein by western blot.
Introduction
Human CD1b (Uniprot #P29016), a protein displayed at the surface of antigen-presenting cells, is involved in the presentation of lipid antigens to T cells (Porcelli et al., 1992). Here, we describe the ability of the AJ521 antibody, a single chain fragment (scFv) derived from the BCD1b3.1 hybridoma, to successfully detect the CD1b protein by western blot in CD1b-transfected HEK293 cells.
Materials & Methods
Antibodies: ABCD_AJ521 antibody (ABCD nomenclature, http://web.expasy.org/abcd/; Lima et al., 2019) was produced by the Geneva Antibody Facility (http://unige.ch/medecine/antibodies/) as a mini-antibody with the antigen-binding scFv fused to a rabbit IgG Fc. The synthesized scFv sequence (GeneArt, Invitrogen) corresponds to the sequence of the variable regions of the BCD1b3.1 hybridoma (Behar et al., 1995) joined by a peptide linker (GGGGS)3. The sequencing of the BCD1b3.1 hybridoma was performed by the Geneva Antibody Facility. HEK293 suspension cells (growing in serum-free FreeStyleTM 293 Expression Medium, Gibco #12338) were transiently transfected with the vector coding for the scFv-Fc. AJ521 supernatant was collected after 4 days. Production of AJ521 was undetectable in this system, indicating a low production yield (<5 mg/L).
Antigen: The BCD1b3.1 hybridoma was originally raised against human CD1+ monocytes in BALB/c mice (Behar et al., 1995). HEK293 suspension cells (growing in FreeStyleTM 293 Expression Medium, Gibco #12338) were transiently transfected 3 days before the experiment with the vector coding for the human CD1b protein fused to its β2 microglobulin subunit (Mercanti et al., 2010).
Protocol: 5x106 transfected HEK cells were pelleted and lysed in PBS containing 0.5% (v/v) Triton X-100. Nucleus were pelleted by centrifugation (10 min at 12’000 g) and supernatant was recovered and mixed with reducing or non-reducing sample buffer (20.6% (w/v) sucrose, 100 mM Tris pH 6.8, 10 mM EDTA, 0.1% (w/v) bromophenol blue, 4% (w/v) SDS, +/- 6% (v/v) -mercaptoethanol). Each sample was migrated (200 V, 30 min) in a 4-20% acrylamide gel (SurePAGE Bis-Tris, Genscript #M00655), and transferred to a nitrocellulose membrane using a dry transfer system for 10 minutes (iBlot gel transfer device, Invitrogen #IB1001EU). The membranes were blocked overnight in PBS containing 0.1% (v/v) Tween20 and 7% (w/v) milk and washed three times for 5 minutes in PBS + 0.1% (v/v) Tween 20. The membranes were then incubated with the primary antibody AJ521 (dilution 1:10 in PBS-Tween) for 1 hour at room temperature and washed three times for 5 minutes. The membranes were then incubated with horseradish peroxidase-coupled goat anti-rabbit IgG (Sigma-Aldrich #A8275, dilution 1:3000) and washed twice for 5 minutes and once for 15 minutes in PBS-Tween. The signal was revealed by enhanced chemiluminescence (ECL) (Millipore) using a PXi-4 gel imaging systems (Syngene).
Results
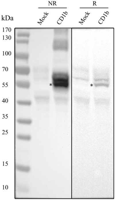
The antibody AJ521 recognizes the non-reduced and, to a lesser extent, the reduced CD1b protein. No specific signal was detected in mock transfected cells (Fig. 1).
Figure 1. Specific binding of the AJ521 antibody to CD1b protein (position indicated by an asterisk) in CD1b-transfected cells in both non-reducing (NR) and reducing (R) conditions.
Conflict of interest
The authors declare no conflict of interest.
References
Behar SM, Porcelli SA, Beckman EM, Brenner MB. A pathway of costimulation that prevents anergy in CD28- T cells: B7-independent costimulation of CD1-restricted T cells. J Exp Med. 1995; 182(6):2007-18. PMID:7500046
Lima WC, Gasteiger E, Marcatili P, Duek P, Bairoch A, Cosson P. The ABCD database: a repository for chemically defined antibodies. Nucleic Acids Res. 2019; pii:gkz714. PMID:31410491
Mercanti V, Marchetti A, Lelong E, Perez F, Orci L, Cosson P. Transmembrane domains control exclusion of membrane proteins from clathrin-coated pits. J Cell Sci. 2010; 123:3329-35. PMID:20826467
Porcelli S, Morita CT, Brenner MB. CDlb restricts the response of human CD4-8- T lymphocytes to a microbial antigen. Nature. 1992; 360(6404):593-7. PMID:1281285
Downloads
Published
Section
How to Cite
License
Some rights reserved 2020 The author(s)

This work is licensed under a Creative Commons Attribution 4.0 International License.

