The AD946 antibody recognizes a 6xHis-tagged recombinant protein by Western blot
DOI:
https://doi.org/10.24450/journals/abrep.2018.e5Abstract
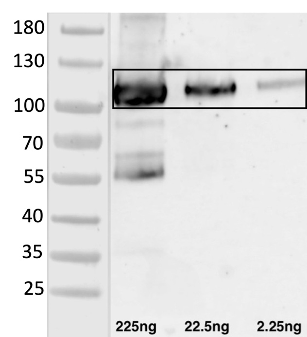
The recombinant antibody AD946 detects by Western blot the 6xHis-tagged human myelin oligodendrocyte glycoprotein (MOG).
Introduction
A polyhistidine-tag consists of at least six histidine (6xHis) residues, fused at the N- or C-terminus of a protein. Here, we describe the ability of the AD946 antibody to detect the 6xHis-tagged human MOG-Fc recombinant protein by Western blot.
Materials & Methods
Antibodies: ABCD_AD946 antibody (ABCD nomenclature, http://web.expasy.org/abcd/) was produced by the Geneva Antibody Facility (http://unige.ch/medecine/antibodies; Blanc et al., 2014) as a mini-antibody with the antigen-binding scFv fused to a mouse Fc. The synthesized scFv sequence (GeneArt, Invitrogen) corresponds to the sequence of the variable regions of the monoclonal anti-6xHis clone 3D5 (Lindner et al., 1997) joined by a peptide linker (GGGS)3. HEK293 suspension cells (growing in FreeStyle™ 293 Expression Medium, Gibco #12338) were transiently transfected with the vector coding for the scFv-Fc of AD946. Supernatants (~50 mg/L) were collected after 5 days.
Antigen: The recombinant human MOG-Fc-Avi-6xHis protein (a gift from Prof. Walter Reith, University of Geneva, Switzerland) was used as a target protein. It comprises 354 amino acids from the human MOG protein (myelin oligodendrocyte glycoprotein, Uniprot #Q16653), fused at its C-terminus to the human IgG1 (Uniprot #P01857), an Avi-tag (GLNDIFEAQKIEWHE) and a 6xHis tag.
Protocol: The recombinant humanMOG-Fc-Avi-6xHis protein was purified from HEK293 cells (560 ng/µL) and diluted in reducing sample buffer (20.6% (w/v) sucrose, 100 mM Tris pH 6.8, 10 mM EDTA, 0.1% (w/v) bromophenol blue, 4% (w/v) SDS, 6% (v/v) ß-mercaptoethanol). Three different amounts of the protein were used in this study (225, 22.5 and 2.25 ng). 20 µL of each sample was migrated (200 V, 30 min) on a 4-15% acrylamide gel (Mini-PROTEAN® TGX™ Precast Gel, Biorad #456-1086), and transferred to a nitrocellulose membrane using a dry transfer system for 10 minutes (iBlot gel transfer device, Invitrogen #IB1001EU). The membranes were blocked during 1 hour in PBS containing 0.1% (v/v) Tween20 and 7% (w/v) milk, and washed three times for 15 minutes in PBS + 0.1% (v/v) Tween20. The membranes were incubated with AD946 (dilution 1:2 in PBS-Tween) overnight at 4°C, then washed three times for 15 minutes. The membranes were then incubated 1 hour with horseradish peroxidase-coupled goat anti-mouse IgG (Biorad #170-6516, dilution 1:3000) and washed twice for 15 minutes and once for 5 minutes in PBS-Tween. The signal was revealed by enhanced chemiluminescence (ECL) (Amersham Biosciences) using a PXi-4 gel imaging systems (Syngene).
Results
The AD946 antibody specifically recognizes, in a dose-dependent manner, the 6xHis-tagged recombinant human MOG-Fc protein (Fig. 1).
Figure 1. Specific binding of the AD946 antibody to 6xHis-tag fused to the MOG-Fc-Avi protein (predicted molecular mass: ~100kD in reducing conditions).
Conflict of interest
The authors declare no conflict of interest.
References
Blanc C, Zufferey M, Cosson P. Use of in vivo biotinylated GST fusion proteins to select recombinant antibodies. ALTEX. 2014;31(1):37-42. PMID:24100547
Lindner P, Bauer K, Krebber A, et al. Specific detection of his-tagged proteins with recombinant anti-His tag scFv-phosphatase or scFv-phage fusions. Biotechniques. 1997; 22(1):140-9. PMID:8994661
Downloads
Published
Section
How to Cite
License
Some rights reserved 2018 The author(s)

This work is licensed under a Creative Commons Attribution 4.0 International License.

