The RB393, RB394 and RB395 antibodies do not recognize the Dictyostelium AplA protein by western blot
DOI:
https://doi.org/10.24450/journals/abrep.2023.e1065Abstract
The recombinant antibodies RB393, RB394 and RB395 do not detect by western blot the AplA protein.
Introduction
AplA (Amoeba Saposin A, DDB_G0284043, UniProt # Q54Q68) is a member of the saposin family of proteins present in D. discoideum. Recombinant antibodies RB393, RB394 and RB395 were developed by the Geneva Antibody Facility and recognize AplA peptides (RB393, RB394: amino acids 302-318 and RB395: amino acids 370-388) by ELISA (Ayadi, 2023). Here, we report that RB393, RB394 and RB395 antibodies fail to detect the full-length AplA protein by western blot.
Materials & Methods
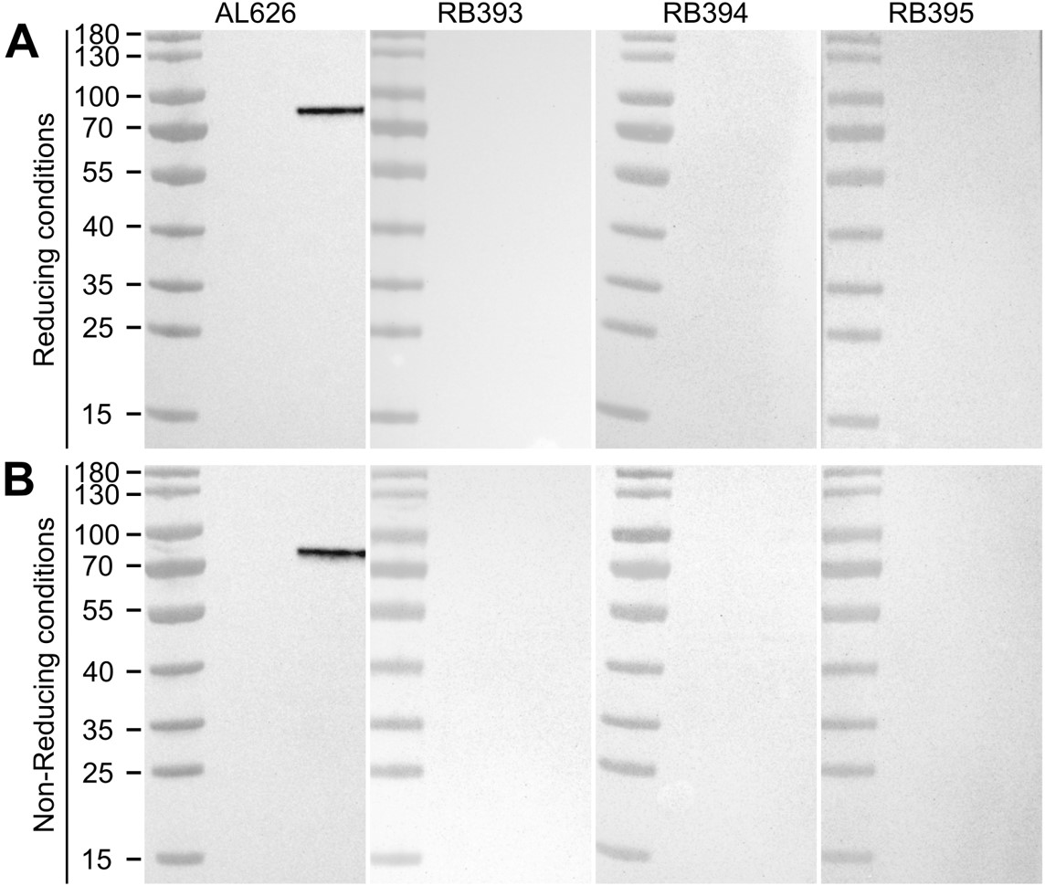
Antibodies: ABCD_RB393, ABCD_RB394 and ABCD_RB395 antibodies (ABCD nomenclature, http://web.expasy.org/abcd/) were produced by the Geneva Antibody Facility (http://unige/medecine/antibodies) as mini-antibodies with the antigen-binding scFv portion fused to a mouse IgG Fc (MRB393, MRB394 and MRB395). HEK293 suspension cells (growing in FreeStyle™ 293 Expression Medium, Gibco #12338) were transiently transfected with the vector coding for the scFv of each antibody. Supernatants (MRB393: 90g/mL, MRB394: 60g/mL and MRB395: 60g/mL) were collected after 5 days. The AL626-M (100g/mL) recognizing the ALFA tag (Lamrabet, 2020) was used in parallel as positive control.
Antigen: Full-length AplA C-terminally fused to the ALFA-tag (AplA-ALFA) was overexpressed in D. discoideum cells and used as a target protein.
Protocol: AplA-ALFA was overexpressed by D. discoideum cells using the expression vector prepSC3 under G418 selection. Secretion of AplA-ALFA was induced by incubating 2.5x106 D. discoideum cell in 100L of phosphate buffer for 3 h at 21°C. The supernatant containing AplA-ALFA was then recovered and diluted either in reducing sample buffer (20.6% (w/v) sucrose, 100 mM Tris pH 6.8, 10 mM EDTA, 0.1% (w/v) bromophenol blue, 4% (w/v) SDS, 6% (v/v) beta-mercaptoethanol) or non-reducing sample buffer not containing beta-mercaptoethanol. Samples were then heated 5min at 95°C and 20 µL of each sample was migrated (200 V, 30 min) on a 4-15% acrylamide gel (Mini-PROTEAN® TGX™ Precast Gel, Biorad #456-1086) and transferred to a nitrocellulose membrane using a dry transfer system for 7 min (iBlot gel transfer device, Invitrogen #IB23001). The membranes were blocked overnight at 4°C in PBS containing 0.1% (v/v) Tween20 and 6% (w/v) milk, and washed three times for 5 min in PBS + 0.1% (v/v) Tween20. After the washing, the membranes were incubated with RB393, RB394, RB395 or AL626 (dilution 1:100 in PBS-Tween) for 2 h, then washed three times for 5 min. The membranes were then incubated 1 h with horseradish peroxidase-coupled goat anti-mouse IgG (Biorad #170-6516, dilution 1:3000) and washed three times for 5 min in PBS-Tween. The signal was revealed by enhanced chemiluminescence (ECL) (Amersham Biosciences) using a PXi-4 gel imaging systems (Syngene).
Results
AL626 antibody recognizes AplA-ALFA by western blot in reducing and non-reducing conditions at a size of approximately 80 kDA. No signal was observed with RB393, RB394 and RB395 indicating that these antibodies failed to recognize AplA-ALFA in the condition used in this study (Fig. 1). It remains to be seen if the same antibodies recognize the full AplA protein when different procedures (e.g. immunofluorescence) are used.
Figure 1. RB393, RB394 and RB395 do not recognize AplA by western blot in reducing and non-reducing conditions.
Conflict of interest
The authors declare no conflict of interest.
References
Lamrabet O. The AL626 antibody recognizes an ALFA-tagged protein by western blot. Antib. Rep. 2020 Jan. 18;3(1):e123.
Ayadi I. RB393 and RB394 antibodies recognize a peptide from the Dictyostelium AplA protein by ELISA. Antib. Rep. 2023 Jan. 10;6(1):e1059
Ayadi I. The RB395 antibody recognizes a Dictyostelium AplA peptide by ELISA. Antib. Rep. 2023 Jan. 10;6(1):e1061
Downloads
Published
Section
How to Cite
License
Some rights reserved 2023 Imen Ayadi

This work is licensed under a Creative Commons Attribution 4.0 International License.

